» أخبار
صادق ربيع فقد نسبة من سمعه ويتبول دماً وشظايا « الشوزن » تهدد حياته
2012-09-25 - 8:14 ص
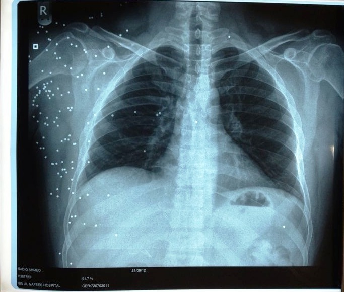
مرآة البحرين: أكدت «شبكة 14 فبراير الإعلامية» أن العضو البلدي الوفاقي السابق صادق ربيع، الذي أصيب برصاص «الشوزن» خلال قمع مسيرة سلمية في سترة منذ أسبوعين، فقد نسبة من سمعة من جراء الإصابة وما زالت شظايا "الشوزن" في جسده.
ونقلت الشبكة عن ربيع الموجود في مستشفى السلمانية قوله إنه أصبح يتبول دماً بعدما أدخل له أنبوب أثناء الاغماء تسبب له لجروح في المسالك البولية، مضيفا أنه بسبب تأخير العلاج فقد نسبة من سمعه وما زالت هناك شظيتان في رئته واربعةً أخرى في الكبد، والعشرات من الشظايا في جسده تهدد حياته.
اقرأ أيضا
- 2026-03-21رويترز: البحرين تعلن أن منظومة صواريخ باتريوت متورطة في انفجار وقع في 9 مارس فوق منطقة سكنية
- 2026-03-18“لسنا خونة”.. موقوفون يتحدّون توصيف النيابة داخل قاعة المحكمة
- 2026-03-16باقر درويش : السلطات البحرينية تتعامل مع المواطنين في بيئة المعارضة على أنهم مشاريع للانتقام السياسي
- 2026-03-11واشنطن تؤكد استخدام قواعد ومجالات جوية خليجية في مواجهتها مع طهران
- 2026-03-09البحرين: صاروخ اعتراضي أمريكي يسقط على منازل مواطنين ويُخلّف إصابات